...

Abrimos de lunes a viernes de 10:00 a 18:00 horas

EXPERTOS EN devolver sonrisas

Antes y después de un tratamiento: El caso de Natalia

Cuando parecía que no había solución, la tecnología volvió a darle una sonrisa. Este es el caso real de Natalia, una paciente que había sido rechazada en otras clínicas por tener muy poco hueso y a la que, gracias a la implantología estratégica monofásica, pudimos devolverle sus dientes fijos sin injertos ni largas esperas.

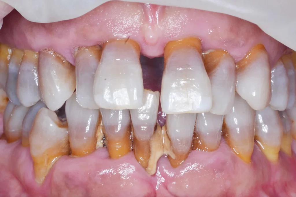
Caso real de implante a un paciente con poco hueso.

¿Quién es Natalia y qué necesitaba?

Natalia acudió a Séptima Dental después de haber recibido varios diagnósticos desalentadores: le decían que no tenía hueso suficiente para colocarse implantes y que necesitaría injertos óseos y meses de espera.
Sin embargo, su deseo era claro: quería una solución fija, rápida y segura, sin someterse a cirugías complicadas.

Su caso representaba un reto, pero también una oportunidad de aplicar una técnica avanzada: la implantología estratégica corticobasal, diseñada precisamente para pacientes con poco hueso disponible.

Clinica dental Sevilla

“La prioridad era ofrecerle una solución funcional y estética sin recurrir a injertos ni largas recuperaciones.”

Estado inicial: pérdida de hueso alveolar significativa, encías retraídas y ausencia de varias piezas. Evaluación digital: TAC 3D y estudio de densidad ósea para localizar las zonas de hueso cortical sano. Plan de tratamiento: colocación de implantes monofásicos estratégicos, anclados directamente al hueso más denso y resistente, evitando cualquier injerto óseo. Objetivo: recuperar una sonrisa fija y natural en solo unos días, con un postoperatorio mínimo y sin riesgo de pérdida ósea futura.

Implantes dentales en sevilla y ceuta

Tratamiento paso a paso

1

Diagnóstico y planificación digital

Se realizó un estudio 3D completo para localizar el hueso cortical disponible y planificar la posición exacta de cada implante estratégico.

2

Colocación mínimamente invasiva

En una única sesión se colocaron los implantes sin abrir la encía, sin puntos ni injertos. Gracias al anclaje en el hueso más denso, la fijación fue inmediata.

3

Prótesis fija en 72 horas

En tan solo tres días, Natalia recibió su prótesis fija, completamente adaptada a su anatomía y diseñada para recuperar la estética y la función masticatoria desde el primer momento.

Nota informativa: Por petición del paciente, en algunos de los casos reales, el nombre usado en la web podría no coincidir con el nombre real.

Tus Implantes Dentales tienen precio y financiación a tu medida.

El antes y después de su sonrisa

“Había perdido la esperanza, pero me lo pusieron todo sin injertos y en solo tres días. Volví a sonreír y a comer normal.” — Natalia

El caso de Natalia demuestra que la falta de hueso ya no es una limitación. Gracias a la implantología estratégica corticobasal, los implantes se fijan en el hueso más sólido del maxilar, evitando complicaciones y logrando resultados inmediatos y duraderos. — Dra. Irene Martínez

¿Tienes un caso parecido al de Carmen?

Seraphinite AcceleratorOptimized by Seraphinite Accelerator
Turns on site high speed to be attractive for people and search engines.